15 Δεκ Σφάλματα μαγνητικής επιδεκτικότητας – Susceptibility artifacts
Τα σφάλματα μαγνητικής επιδεκτικότητας είναι ένα συνηθισμένο φαινόμενο στις εξετάσεις μαγνητικής τομογραφίας και δύνανται να εμφανιστούν τόσο στον άξονα κωδικοποίησης φάσης όσο και στον άξονα κωδικοποίησης συχνότητας, καθώς είναι ανεξάρτητα της χωρικής κωδικοποίησης. Τα συγκεκριμένα τεχνικά σφάλματα μπορούν να παρατηρηθούν στα όρια δύο φυσιολογικών δομών με διαφορετική μαγνητική επιδεκτικότητα (πχ μεταξύ ιστού κι αέρα), αλλά προκαλούνται και από την παρουσία μεταλλικών ενθεμάτων. Βεβαίως, τα σφάλματα μαγνητικής επιδεκτικότητας από μεταλλικά ενθέματα είναι αρκετά εντονότερα. Πιο συγκεκριμένα, η παρουσία μεταλλικών αντικειμένων δημιουργούν μια περιοχή μηδενικού σήματος, ίση με το μέγεθος του αντικειμένου με ταυτόχρονη γεωμετρική παραμόρφωση ή/και απώλεια σήματος των γειτονικών ιστών.
Κάθε ιστός ο οποίος τοποθετείται εντός ισχυρού μαγνητικού πεδίου ανταποκρίνεται με διαφορετικό τρόπο στη μαγνήτιση σε σχέση με τους άλλους ιστούς, κάτι που οφείλεται στη διαφορά που παρουσιάζουν στην μαγνητική τους επιδεκτικότητα. Αυτές οι μικροσκοπικές αλλαγές στο μαγνητικό πεδίο προκαλούν αύξηση της απώλειας συμφασικότητας των πρωτονίων στα όρια μεταξύ ιστών με διαφορετική μαγνητική επιδεκτικότητα, με αποτέλεσμα τα voxel σε εκείνη την περιοχή να έχουν χαμηλότερης έντασης σήμα. Τα περισσότερα μεταλλικά αντικείμενα έχουν πολύ υψηλότερη μαγνητική επιδεκτικότητα από ότι οι φυσιολογικοί ιστοί, προκαλώντας πολύ μεγάλη ανομοιογένεια στο πεδίο γύρω από το αντικείμενο. Επίσης, πρέπει να τονιστεί ότι τα μέταλλα είναι καλοί αγωγοί, έτσι απορροφούν εύκολα ενέργεια από τους παλμούς ΡΣ προκαλώντας αύξηση της θερμοκρασίας τους (⬆ SAR), κάτι που μπορεί να είναι ιδιαίτερα επικίνδυνο για τον ασθενή.
Τι είναι η μαγνητική επιδεκτικότητα;
Στη μαγνητική τομογραφία ο όρος μαγνητική επιδεκτικότητα ορίζεται ως ο τρόπος με τον οποίο κάθε υλικό μαγνητίζεται όταν εισέρχεται εντός ενός μαγνητικού πεδίου. Ανάμεσα στους ιστούς, τα οστά διαθέτουν την μικρότερη μαγνητική επιδεκτικότητα, ενώ οι περισσότεροι ιστοί διαθέτουν μέτρια μαγνητική επιδεκτικότητα. Αντίθετα, τα κύτταρα τα οποία περιλαμβάνουν σίδηρο, όπως η αιμοσφαιρίνη, έχουν την υψηλότερη μαγνητική επιδεκτικότητα. Στα όρια των ιστών αυτών, τα ελαφρώς διαφορετικά μαγνητικά πεδία που βρίσκονται εντός αυτών των κυττάρων, επιταχύνουν την απώλεια συμφασικότητας προκαλώντας απώλεια σήματος. Η αλλαγή της φάσης που προκαλείται σε μια τέτοια περίπτωση δίνεται από τον τύπο: Δφ= γ * Gi * Δr * TE γ = γυρομαγνητικός λόγος (σταθερά για κάθε πυρήνα, περίπου 42,6 MHz για το άτομο του υδρογόνου) Gi= το εσωτερικό μαγνητικό πεδίο που προκαλεί το στατικό μαγνητικό πεδίο Β0 και το οποίο εξαρτάται από την μαγνητική επιδεκτικότητα του κάθε ιστού/υλικού Δr = το μέγεθος του voxel ΤΕ = χρόνος ηχούς Αυτή η εξίσωση δείχνει ότι τα τεχνικά σφάλματα μαγνητικής επιδεκτικότητας είναι εντονότερα όσο αυξάνεται η ένταση του μαγνητικού πεδίου B0, όσο μεγαλύτερο μέγεθος έχει το voxel που χρησιμοποιούμε, αλλά και όσο μεγαλύτερος είναι ο χρόνος ΤΕ που επιλέγουμε. Φυσικά, το σημαντικότερο ρόλο διαδραματίζει το είδος του ιστού/υλικού.
Αντιμετώπιση
Τι είναι η μαγνητική επιδεκτικότητα;
Στη μαγνητική τομογραφία ο όρος μαγνητική επιδεκτικότητα ορίζεται ως ο τρόπος με τον οποίο κάθε υλικό μαγνητίζεται όταν εισέρχεται εντός ενός μαγνητικού πεδίου. Ανάμεσα στους ιστούς, τα οστά διαθέτουν την μικρότερη μαγνητική επιδεκτικότητα, ενώ οι περισσότεροι ιστοί διαθέτουν μέτρια μαγνητική επιδεκτικότητα. Αντίθετα, τα κύτταρα τα οποία περιλαμβάνουν σίδηρο, όπως η αιμοσφαιρίνη, έχουν την υψηλότερη μαγνητική επιδεκτικότητα. Στα όρια των ιστών αυτών, τα ελαφρώς διαφορετικά μαγνητικά πεδία που βρίσκονται εντός αυτών των κυττάρων, επιταχύνουν την απώλεια συμφασικότητας προκαλώντας απώλεια σήματος. Η αλλαγή της φάσης που προκαλείται σε μια τέτοια περίπτωση δίνεται από τον τύπο: Δφ= γ * Gi * Δr * TE γ = γυρομαγνητικός λόγος (σταθερά για κάθε πυρήνα, περίπου 42,6 MHz για το άτομο του υδρογόνου) Gi= το εσωτερικό μαγνητικό πεδίο που προκαλεί το στατικό μαγνητικό πεδίο Β0 και το οποίο εξαρτάται από την μαγνητική επιδεκτικότητα του κάθε ιστού/υλικού Δr = το μέγεθος του voxel ΤΕ = χρόνος ηχούς Αυτή η εξίσωση δείχνει ότι τα τεχνικά σφάλματα μαγνητικής επιδεκτικότητας είναι εντονότερα όσο αυξάνεται η ένταση του μαγνητικού πεδίου B0, όσο μεγαλύτερο μέγεθος έχει το voxel που χρησιμοποιούμε, αλλά και όσο μεγαλύτερος είναι ο χρόνος ΤΕ που επιλέγουμε. Φυσικά, το σημαντικότερο ρόλο διαδραματίζει το είδος του ιστού/υλικού.
Αντιμετώπιση
- Απομάκρυνση όλων των μεταλλικών αντικειμένων από τον ασθενή
- Xρήση του μικρότερου δυνατού voxel size (μέσω μικρότερου FOV, μεγαλύτερης μήτρας ή/και λεπτότερης τομής). Βέβαια θα πρέπει οι υπόλοιποι παράμετροι να βελτιστοποιηθούν γιατί η μείωση του voxel size οδηγεί σε μείωση του λόγου SNR.
- Χρήση του ελάχιστου δυνατού χρόνου ΤΕ, έτσι ώστε τα πρωτόνια να μην έχουν αρκετό χρόνο να χάσουν τη συμφασικότητά τους λόγω ανομοιογενειών
- Χρήση radial τεχνικής (BLADE/PROPELLER/MultiVane) για την πλήρωση του Κ Χώρου
- Xρήση ακολουθιών FSE/TSE με μεγάλο ETL αντί για ακολουθίες GRE
- Χρήση ακολουθίας STIR ή τεχνικής Dixon/Flex για την καταστολή του σήματος του λίπους αντί της κλασικής τεχνικής φασματικού κορεσμού (fat sat)
- Εφαρμογή πηνίων εξομάλυνσης (Shimming)
- Αύξηση του bandwidth. Βέβαια θα πρέπει οι υπόλοιποι παράμετροι να βελτιστοποιηθούν γιατί η αύξηση του bandwidth οδηγεί σε μείωση του λόγου SNR
- Επιλογή της κατεύθυνσης κωδικοποίησης συχνότητας (ΠΡΟΣΟΧΗ όχι της φάσης) στην μεγαλύτερη διάσταση του μεταλλικού ενθέματος. Π.χ. σε μια στεφανιαία ακολουθία μηριαίου με ενδομυελική ήλωση, η κατεύθυνση κωδικοποίησης συχνότητας θα πρέπει να επιλεγεί H/F (ή S/I αναλόγως το σύστημα)
- Εάν υπάρχει η δυνατότητα επιλογής, προτίμηση Τομογράφου 1.5Τ αντί 3Τ (όσο πιο ισχυρό το μαγνητικό πεδίο τόσο πιο έντονα τα τεχνικά σφάλματα)
- Χρήση ειδικών ακολουθιών μείωσης των τεχνικών σφαλμάτων μαγνητικής επιδεκτικότητας (VAT, SEMAC, MAVRIC)
- Χρήση τεχνικών Diffusion που είναι περισσότερο αναίσθητες στις ανομοιογένειες συγκριτικά με την κλασική single-shot DWI (π.χ. DWI PROPELLER, RESOLVE, ZOOMit/FOCUS, MUSE, DWI TSE).
Τεχνικό σφάλμα μαγνητικής επιδεκτικότητας σε ασθενή με βαλβίδα εγκεφάλου. Η εικόνα
δείχνει πως όσο πιο ευαίσθητη είναι η ακολουθία παλμών που χρησιμοποιείται,
τόσο εντονότερα απεικονίζεται το τεχνικό σφάλμα μαγνητικής επιδεκτικότητας στην
τελική εικόνα.
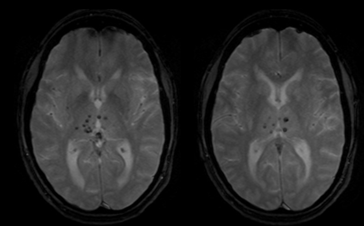
Σημείωση: Το τεχνικό σφάλμα μαγνητικής επιδεκτικότητας χρησιμοποιείται εποικοδομητικά για την ανίχνευση αιμορραγίας με χρήση ακολουθιών Τ2* GRE (2D Spoiled ακολουθία ή 3D SWI/SWAN), κυρίως στην περιοχή του εγκεφάλου (εικόνα) και γενικότερα του ΚΝΣ. Επίσης, χρησιμοποιείται στην τεχνική DSC Perfusion για τον δυναμικό έλεγχο της αιματικής διήθησης και στην λειτουργική Μαγνητική Τομογραφία (fMRI).
Εγκάρσια ακολουθία Τ2* GRE. Εποικοδομητική χρήση του τεχνικού σφάλματος μαγνητικής επιδεκτικότητας για την ανάδειξη μικροαιμορραγίας στον εγκέφαλο.