15 Δεκ Τεχνικό σφάλμα χημικής μετατόπισης πρώτης τάξης – Chemical shift artifact of the first order
Χημική μετατόπιση ονομάζεται το φαινόμενο κατά το οποίο ο ίδιος πυρήνας στο ίδιο εξωτερικό μαγνητικό πεδίο έχει διαφορετική μεταπτωτική συχνότητα...
Χημική μετατόπιση ονομάζεται το φαινόμενο κατά το οποίο ο ίδιος πυρήνας στο ίδιο εξωτερικό μαγνητικό πεδίο έχει διαφορετική μεταπτωτική συχνότητα...
Σε αντίθεση με το τεχνικό σφάλμα χημικής μετατόπισης πρώτης τάξης, το οποίο οφείλεται στις διαφορές συχνότητας ανάμεσα στο νερό και...
Το συγκεκριμένο τεχνικό σφάλμα εμφανίζεται ως απώλεια σήματος ή ως ζώνες έλλειψης σήματος στις εικόνες. Η απώλεια σήματος συμβαίνει επειδή...
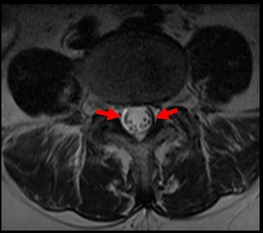
Πρόκειται για ένα τεχνικό σφάλμα που μπορεί να προκαλέσει σοβαρά διαγνωστικά προβλήματα στην απεικόνιση μαγνητικού συντονισμού. Οπτικά είναι εμφανές ως...
Το τεχνικό σφάλμα αναδίπλωσης (wrap-around ή aliasing ή fold over artifact) είναι ένα πολύ συχνό φαινόμενο κατά την εκτέλεση εξετάσεων...
Τα τεχνικά σφάλματα λόγω κίνησης προκαλούνται από εκούσιες ή ακούσιες κινήσεις του ασθενούς (τυχαία κίνηση) ή από φαινόμενα ροής στα...
Τα σφάλματα μαγνητικής επιδεκτικότητας είναι ένα συνηθισμένο φαινόμενο στις εξετάσεις μαγνητικής τομογραφίας και δύνανται να εμφανιστούν τόσο στον άξονα κωδικοποίησης...