Ακολουθία παλμών STIR (Short tau Inversion Recovery)

Ακολουθία παλμών STIR (Short tau Inversion Recovery)

Η ακολουθία παλμών STIR αποτελεί ακολουθία Inversion Recovery (IR) κατά την οποία αρχικά, εφαρμόζεται παλμός αναστροφής με σκοπό τη προετοιμασία της διαμήκους μαγνήτισης. Στην ακολουθία παλμών STIR χρησιμοποιείται κατάλληλος χρόνος αναστροφής για την επιλεκτική καταστολή του λίπους. Αρχικά εφαρμόζεται παλμός αναστροφής 180⁰ ο οποίος στρέφει τη διαμήκη μαγνήτιση στον αρνητικό άξονα z. Αμέσως μετά ξεκινάει η ανάκτηση της διαμήκους μαγνήτισης η οποία μηδενίζεται και μετά αυξάνεται στο θετικό άξονα z. Μετά από χρόνο αναστροφής (Time to Inverse, TI) μεταξύ 130-180ms (σε μαγνητικό πεδίο έντασης 1.5Τ), όπου το σήμα του λίπους είναι μηδενικό (ή σχεδόν μηδενικό), ακολουθεί ακολουθία παλμών Spin Echo ή FSE. Σε μαγνητικό πεδίο έντασης 3Τ, ο χρόνος αναστροφής είναι μεταξύ 200-240 ms.

Η επιλογή του κατάλληλου χρόνου αναστροφής ΤΙ εξαρτάται από το χρόνο χαλάρωσης Τ1 του ιστού και θα πρέπει να είναι περίπου 70% του χρόνου χαλάρωσης Τ1. (π.χ. ο χρόνος χαλάρωσης Τ1 του λίπους σε μαγνητικό πεδίο 1.5Τ είναι 220ms οπότε η χρήση ΤΙ 150ms καταστέλλει το σήμα του λίπους).
Τυπικές τιμές παραμέτρων ακολουθίας STIR
Σχεδιάγραμμα ακολουθίας STIR
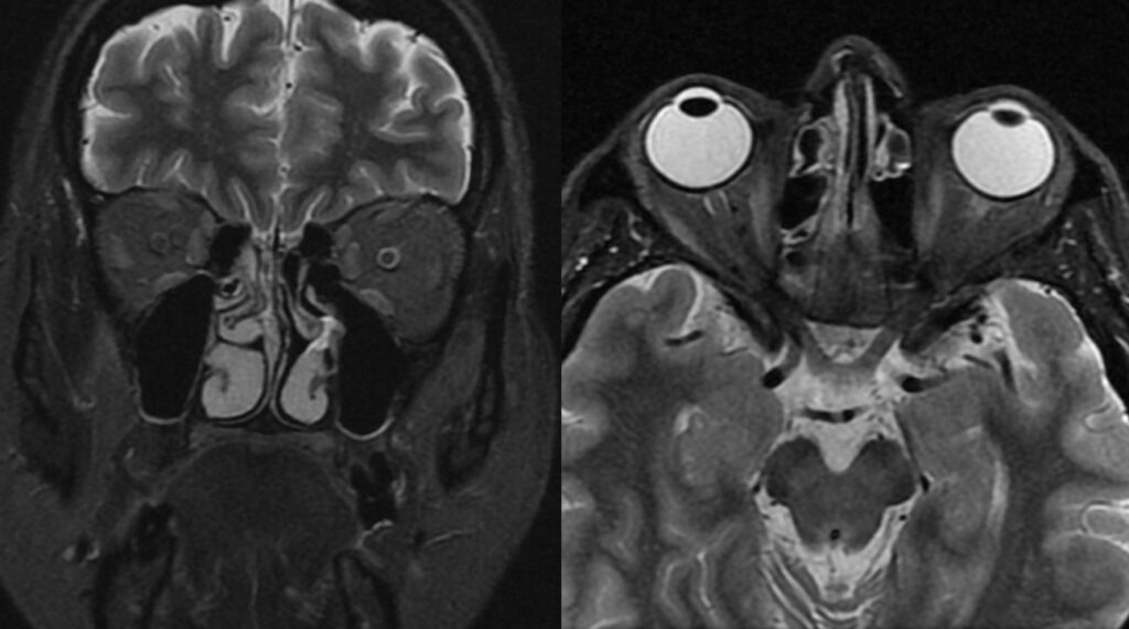
Εικόνα 1: Εικόνες βάρους Τ2 STIR (με καταστολή του λίπους) οφθαλμικών κόγχων σε (α) στεφανιαίο και (β) εγκάρσιο επίπεδο.